CENNI DI IMPLANTOPROTESI
TELESCOPIO E CONOMETRIA
Accoppiamento telescopico: frizione tra una corona primaria ed una secondaria.
Questo meccanismo sfrutta un angolo di 0° di fresatura delle pareti.
Accoppiamento conico: 2^...
Serata morfologia gruppi frontali anteriori ad alta personalizzazione
Prima serata, riservata ai clienti Meditech del ciclo incontri sulla forma del dente, il suo sviluppo e la sua realizzazione, tramite l’osservazione dettagliata e...
Strutture e Sostegni – Portanti e secondari
In edilizia, al cadere di un muro, non si dice mai che il materiale che rivestiva la struttura era di poca qualità, ma che...
PERCHÉ E IMPORTANTE LA CEMENTAZIONE?
Nel 2019 presso la sede Meditech di Modena si è svolto, in collaborazione con Noritake kuraray, l’evento dal titolo “Gestione e Soluzioni tecnico-cliniche per...
Corso di Protesi Totale
Il corso di Protesi Totale intende soffermarsi su una prospettiva pratica e concreta, per migliorare la conoscenza diretta e approfondita della protesi mobile in...
Faccetta in Disilicato di Litio
Trattamento estetico mucogengivale e rimodellamento della linea armonica del sorriso
Odontoiatra: Dr. Nicola Di Mare libero professionista in Modena
Trattamento: faccetta singola in disilicato di litio...
Un’esperienza da Gerald Ubassy
Un’esperienza da Gerald Ubassy, ovvero un corso di perfezionamento a contatto con uno dei più grandi maestri odontotecnici del mondo.
Chi è Gerald Ubassy?
Riconosciuto per...
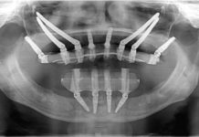
Prova di Sheffield
Si svitano gli impianti ma non so perché?
Passivazione, Centratura, Tensioni
Le forze (centriche ed eccentriche) che sviluppano i carichi masticatori, producono sollecitazioni che trasmesse alla...
Giunto implantare: Tensioni che determinano la perdita di un impianto.
Giunto implantare, fresaggio parallelo non conico, conoscenza della meccanica di precisione, tensioni che determinano la perdita di un impianto.
Passaggi certi, sicuri per realizzare protesi...
Protesi Totale e Toronto, quali connessioni?
Un collega mi ha confessato di non conoscere la protesi mobile, quindi progetta e costruisce dispositivi di Toronto in quanto protesi fissa.
Dice di...
Il rispetto dei volumi del provvisorio in funzione del design della struttura
Per ottenere il miglior risultato in termini di volumi di un provvisorio é indispensabile avvalersi di due tecniche quali il Maching (accoppiamento Digitale )tramite...
Framework in Metallo su Impianti (Video)
L’importanza di un buon risultato per un dispositivo protesico comincia dalla progettazione.
Visione, precisione, semplificazione, controllo, sono poche e alcuni benefici che gli strumenti digitali,...
La protesi fissa tipo “Toronto Bridge”
Tempi rapidi, cicli di lavorazione ridotti ma è proprio così?
La protesi fissa “TORONTO BRIDGE“ è una protesi fissa totale completa con flangia rosa (...




















