Come nasce un dispositivo protesico?
Quali sono le considerazioni necessarie prima di procedere alla sua realizzazione?
- La scelta del materiale,
- il colore,
- la distribuzione spaziale degli elementi dell’arco dentale,
- scelta della tipologia (di forma, ovale, triangolare, quadrato),
- sviluppo
- funzione gnatologica.
Ponti e corone in Zirconio su monconi naturali
Riabilitazione funzionale e riposizionamento degli spazi coronali per la riarmonizzatine dell’arco dentale
Odontoiatra: Dr. Giovanni Bertoldi, libero professionista in Modena
Esecuzione tecnica : Sig. Marco Benassi
Trattamento: ponti e corone in Zirconio su monconi naturali, rivestimento estetico ceramica Noritake CZR
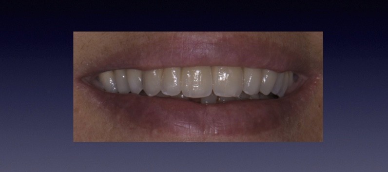
Paziente: femmina 55+ anni (chiede una maggiore funzionalità masticatoria, chiusura del diastema, scelta della forma più idonea in rapporto con il viso).
Editoriale:
Unire le esigenze funzionali e quelle di forma estetica ad alta personalizzazione, richiede talvolta il compromesso come obiettivo di realizzo.
Definire un progetto, clinico – tecnico in fase iniziale rassicura il paziente ma soprattutto rende più sereni gli operatori del team protesico su eventuali e diverse richieste in corso.
Quale materiale, per un caso complesso come questo, può essere utilizzato nel rispetto del compromesso funzionale?
Abbiamo preferito e scelto la zirconia stratificata, in quanto ci ha permesso di modellare e guidare il progetto al risultato convenuto.
Regole base, universali, per la costruzione di strutture di sostegno per la ceramica.
Riportiamo agli articoli specifici su Meditech Talk dal titolo:
Il rispetto dei volumi del provvisorio in funzione del design della struttura e strutture e sostegni – portanti e secondari.)
Colori e Trasparenze
La scelta di eseguire una stratificazione semplice armonica e non complessa nell’uso di smalti e colori, sta nel fatto che il Team restaurativo deve essere guidato dalle esigenze estetiche del paziente e in questo caso si preferiva una armonizzazione di colore e con poche trasparenze.
L’uso delle ceramiche dentine e traslucenti per restauri a copertura totale forniscono proprietà ottiche considerevolmente diverse.
Scelta della forma
La scelta della forma dell’elemento dentale è stata rapportata alla forma delle labbra del paziente.
Labbra spesse = forme ovali
Labbra sottili = forme triangolari
La scelta della forma ovale con ampie aperture interstiziali, margine incisale con curvatura maggiore, cervico – incisale, punti di contatto allineati al centro e sviluppo dell’ombra più accentuata negli spazi interprossimali.
La paziente, con tendenza la seconda classe dentale, si è presentata con un provvisorio superiore da 16 a 26 e con terapie conservative ed endodontiche incongrue. Anche le preparazioni protesiche lasciavano a desiderare, con monconi troppo conici e non ritentivi, presenza di sottosquadri e in alcuni casi invasione dell’ampiezza biologica.
Sono stati eseguiti alcuni ritrattamenti endodontici, sono stati ripreparati i monconi e in alcuni elementi si è proceduto a ricostruire i monconi usando perni in zirconio vetrificato.
Dal punto di vista parodontale si è proceduto a recuperare i margini protesici in quei siti in cui tali margini erano troppo sottogengivali.
Sono stati eseguiti nuovi provvisori e si è dato il tempo ai tessuti di maturare.
Infine, sono state eseguite le impronte in polietere e si è finalizzato il trattamento.



