Sviluppo di 2 Protesi Totali su articolatore a Valore Medio
- Da quali fattori dipende la stabilità di 2 Protesi Totali?
- Quali errori, difficoltà, incertezze ne determinano spesso una instabilità?
- La preparazione dei modelli, placche, montaggio che rilevanza hanno nel risultato finale?
- Quali denti scelgo, come forma e volume, per determinare il rapporto Gnatologico, Funzionale e Gruppo Frontale?
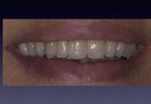
Trattamento: Riabilitazione Funzionale Superiore e Inferiore di 2 Protesi Mobili Totali con rialzo di D.V.O e armonizzazione dell’arco dentale, montaggio con Denti Candulor leggera colorazione delle flange protesiche.
Paziente: maschio 70+ anni desidera una maggiore funzionalità masticatoria, armonizzazione dell’arco dentale, miglioramento dei tessuti della gengiva ortopedica e sua leggera colorazione.
Esecuzione Tecnica: Sig. Marco Benassi
Editoriale
Stabilità di 2 Protesi Totali
La stabilità della protesi totale inizia da un’analisi approfondita delle eventuali protesi preesistenti e da un sondaggio del tessuto, delle creste
(vedi articolo “Protesi Totale e Toronto, quali connessioni?” su Blog Meditech Talk)
Quali errori, difficoltà, incertezze ne determinano spesso una instabilità?
Un valido progetto parte sempre da 2 impronte preliminari-panoramiche, il cui ruolo è quello di formulare un primo approccio valutativo sulla futura estensione dei
Bordi protesici, dallo spessore dei frenuli per determinarne lo scarico, dal tipo di palato e dal suo tessuto, dal tipo di creste che supporteranno il nostro montaggio, per poi costruirci un cucchiaio funzionale con la tecnica del bordaggio.
La preparazione dei modelli, placche, montaggio quale rilevanza hanno nel risultato finale?
La costruzione di 2 cucchiai funzionali, bordati e ribassati con un materiale fluido non compressivo sui tessuti, la preparazione di placche funzionali stabili
(vedi articolo “Placche Stabili” su Blog Meditech Talk)
con supporto di resina molle, per superare ed evitare i sottosquadri della gengiva del modello in gesso, con cera di articolazione a spessori di superfice masticatoria (della stessa dimensione dei denti e con un’altezza media dell’inferiore a 18mm e nel superiore a 22mm), per poi eseguire delle chiavi di rapporto su cera che consentano di effettuare una registrazione in occlusione compressiva e, conseguentemente, di registrare con arco facciale la posizione mascellare superiore.
Quali denti scelgo, come forma e volume, per determinare il rapporto Gnatologico, Funzionale e Gruppo Frontale?
Osservare l’eventuale forma del precedente dispositivo da sostituire è necessario in quanto ci informa sulla forma del dente la sua grandezza e la disposizione nell’arco protesico. Vantaggio maggiore, ma non sempre possibile, sarebbe progettare un provvisorio mobile prima della costruzione del definitivo.
Le indicazioni da seguire sono molteplici per la protesi definitiva, che risulta già in copia con la progettazione provvisoria, sia gnatologicamente che funzionalmente ed esteticamente e con l’eventuale apporto di indicazioni migliorative.
E’ necessario un controllo costante, dalla prova su cera alla consegna, con l’ausilio della fotografia, per ottenere il valore estetico dato dal posizionamento e dalla curvatura di ogni singolo elemento da disporre nell’arco dentale, come risultante di un rapporto dento-facciale armonico.
L’uso di strumenti digitali, per il controllo minuzioso delle linee e curvature, aiuta moltissimo nello sviluppo protesico e nel confronto assieme al paziente, che ha la possibilità di veder sviluppato il suo dispositivo con una maggiore personalizzazione.








