LA PREPARAZIONE DEI DENTI È VERAMENTE NECESSARIA?
Faccetta in composito, con mock-up in silicone trasparente
Odontoiatra: Dr. Giavatto Marco Aurelio
Progettazione tecnica: Sig. Benassi Marco
Trattamento: faccetta singola in composito.
Paziente:
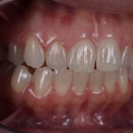
Donna (20 + anni) che desidera un restauro finale armonizzato, il più possibile, con i denti naturali vicini, soprattutto con il suo speculare.
Si sottopone per la prima volta ad un trattamento estetico-dentale di ri-armonizzazione della forma.
Paziente esperta e ben documentata, in quanto operatrice nel settore dentale.
Importanti fattori durante la realizzazione: l’approccio scelto tiene conto delle esplicite richieste della paziente, ovvero la minima invasività possibile e l’armonizzazione del 22 agli altri elementi del sestante 1.
Per esaudirle, si è deciso di valutare un riallineamento protesico della superficie vestibolare dell’elemento 22, nel rispetto dell’adattamento all’arco dentale, mediante approccio adesivo additivo, associato ad uno spostamento apicale del FGM (free gingival margin).
Realizzazione clinica: 1 seduta – Realizzazione tecnica: 1 seduta
Editoriale:
Odontoiatri e odontotecnici hanno le competenze e le conoscenze tecniche, in merito ai protocolli protesici, per realizzare restauri di faccette secondo pianificazioni collaudate e ripetibili.
Per la realizzazione di questa tecnica di alta personalizzazione è fondamentale, da parte dell’operatore, una profonda, dettagliata e specifica conoscenza delle forme dentali naturali, ovale, quadrata e triangolare (T-O-Q), dello sviluppo della luce e dell’ombra e l’allineamento all’arco dentale.
Oggi con l’odontoiatria adesiva si possono eseguire restauri molto conservativi, al contrario di un tempo in cui, l’unica soluzione protesica era la preparazione totale dell’elemento dentale.
Oggi siamo in grado di proporre ed utilizzare dispositivi solo sulla parte esterna vestibolare, faccette aditional o faccette tradizionali, dove in alcuni casi non è necessario preparare il dente, ma basta applicare un nuovo smalto, soprapponendolo a quello dente già esistente.
Possiamo ottenere dei manufatti molto longevi con durate temporali superiori a 20 anni.
La presa d’impronta è effettuata con metodo tradizionale, analogico e sviluppo con gessextraduro di 4 classe.
Ceratura a controllo stereomicroscopio dell’elemento 22.

La ceratura avviene in modo molto accurato e speculare al dente da riprodurre fedelmente, previo un attento esame della forma dei denti naturali (T-O-Q)
Il controllo di forma tramite la duplicazione in putty.
Seguono 2 correzioni con relative duplicazioni di controllo forma.
Infine lo stampaggio della mascherina trasparente e la preparazione dei fori di iniezione.
Tempo complessivo di lavorazione tecnica, circa 2 H



















