Articoli Recenti
NUOVE LINEE GUIDA PER LE FACCETTE IN COMPOSITO ADESIVE
LA PREPARAZIONE DEI DENTI È VERAMENTE NECESSARIA?
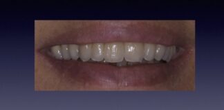
Faccetta in composito, con mock-up in silicone trasparente
Odontoiatra: Dr. Giavatto Marco Aurelio
Progettazione tecnica: Sig. Benassi Marco
Trattamento: faccetta singola...
Dispositivo Protesico Funzionale Ortopedico con Design Bioestetico
Sviluppo di 2 Protesi Totali su articolatore a Valore Medio
Da quali fattori dipende la stabilità di 2 Protesi Totali?
Quali errori, difficoltà, incertezze...
Framework in Zirconio su monconi implantari- tecnica dell’incollaggio
Qual è il design ottimale di un dispositivo protesico?
Cosa significa design personalizzato per un dispositivo protesico?
Significa la scelta del materiale, il colore, la distribuzione...
Progettazione ed esecuzione di un Framework in Zirconio
Come nasce un dispositivo protesico?
Quali sono le considerazioni necessarie prima di procedere alla sua realizzazione?
La scelta del materiale,
il colore,
la distribuzione spaziale...





